Cientistas da Universidade Stanford desenvolveram um chip ocular chamado PRIMA, oferecendo um avanço promissor contra a degeneração macular relacionada à idade, uma das principais causas de perda de visão.
Em estudo publicado em 20 de outubro no New England Journal of Medicine, a pesquisa mostrou resultados significativos. Os implantes, testados na Califórnia, restauraram a capacidade de leitura de pacientes com cegueira parcial.
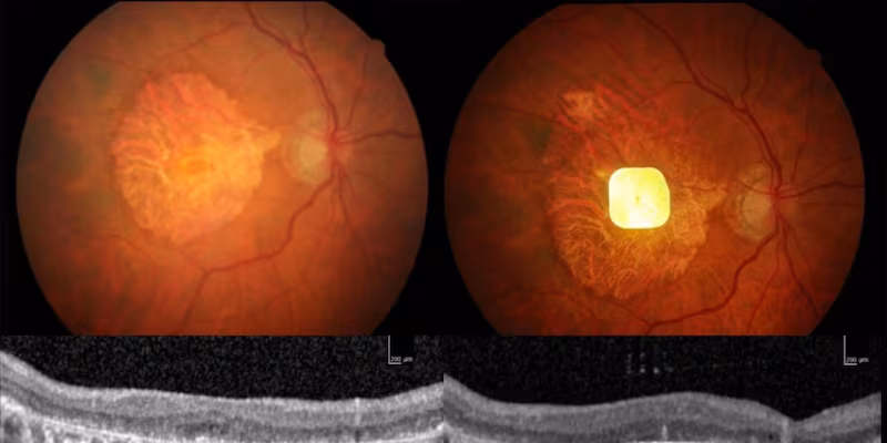
Eficiência do implante PRIMA
O PRIMA é um implante ocular de 2 milímetros que funciona com óculos equipados com câmera. Ele utiliza luz infravermelha para transmitir imagens ao cérebro, substituindo as funções dos fotorreceptores danificados. O sistema é alimentado por energia solar, eliminando a necessidade de baterias ou fios.
O estudo acompanhou 38 voluntários acima de 60 anos. Destes, 32 foram monitorados por pelo menos 12 meses. 27 participantes recuperaram a capacidade de ler textos, enquanto 26 mostraram melhorias significativas na visão.
Alguns alcançaram uma acuidade visual de 20/42 usando recursos digitais dos óculos, como zoom e contraste aumentado. Mesmo com efeitos colaterais leves, como pressão ocular elevada e pequenos sangramentos, a maioria dos sintomas desapareceu em dois meses sem complicações graves.
Esta tecnologia permite que os pacientes utilizem a visão periférica remanescente, aumentando sua independência.

Expectativas e inovações
Os pesquisadores planejam continuar refinando o PRIMA para oferecer visão em tons de cinza, essencial para reconhecimento facial.
A equipe trabalha em aumentar a resolução do chip. Hoje, a resolução é limitada pelo tamanho dos pixels, mas o objetivo é alcançar uma nitidez visual próxima de 20/20 com zoom eletrônico.
O estudo inicial demonstra que o PRIMA pode beneficiar outras condições de cegueira causadas por perda de fotorreceptores, ampliando seu potencial de uso.
Impacto na saúde ocular
Este avanço representa um marco inovador na oftalmologia, trazendo esperança para milhões de pessoas que enfrentam degeneração macular. Por enquanto, o dispositivo oferece uma visão monocromática, mas as pesquisas contínuas visam ampliar seus benefícios.
As próximas fases dos estudos se concentrarão em testar o PRIMA em diferentes tipos de cegueira, com o potencial de transformação significativa para os afetados.




